동반된 안질환 없는 경우 수술로 간단히 제거 가능
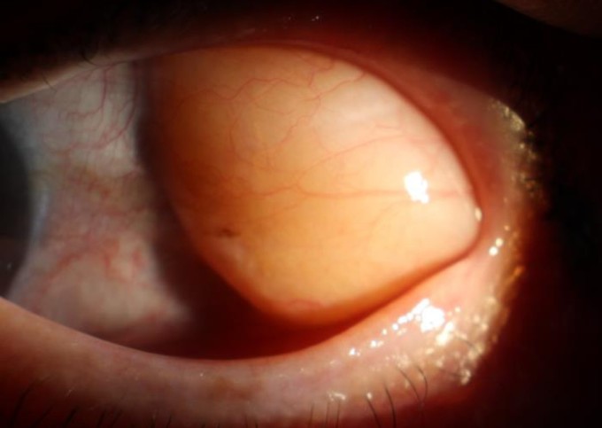
눈이 노화하면서 안구를 감싸고 있는 결막이 약해지고 느슨해지게 되면 지방이 앞으로 밀려 나와 노란 혹처럼 보이는 안와지방탈출이 발생할 수 있다.
안와지방탈출은 눈꺼풀을 들지 않으면 보이지 않을 정도로 작은 크기에서부터 너무 많이 튀어나와 눈을 감을 때 윗눈꺼풀과 아랫눈꺼풀 사이에 끼일 정도로 큰 경우까지 다양한 크기로 나타난다.
![]() |
| 흰자 위에 보이는 노란 혹, 안와지방탈출.[사진=김안과병원] 2025.10.22 onemoregive@newspim.com |
자각증상이 거의 없으며 거울을 보다 발견하거나 타인에 의해 발견되는 등 육안으로도 비교적 쉽게 알아차릴 수 있다. 눈 흰자 양쪽에 노른자 같은 물렁한 혹이 보인다면 안와지방탈출을 의심해볼 수 있으며, 정확한 진단은 세극등현미경 검사나 촉진을 통해 이루어진다.
눈꺼풀이 움직일 때 불편함이 없거나 특별한 증상이 나타나지 않는다면 시력에는 큰 영향을 주지 않으므로 경과 관찰과 함께 윤활작용을 돕기 위한 인공눈물을 점안하며 지켜보는 것을 권장한다. 다만, 치료를 요하는 다른 안질환이 유사한 형태로 나타날 수 있어 지방의 형태 변화가 관찰된다면 빠르게 안과에 내원하여 정확한 진단을 받아보는 것이 좋다.
시력에 문제가 없더라도 적극적으로 사회생활을 하는 연령층이거나 환자가 원할 경우 제거를 고려해볼 수 있는데, 검사를 통해 동반된 안질환이 없는 경우 수술로 간단하게 제거할 수 있다.
수술은 마취 후 결막을 절개하여 탈출된 지방을 제거한 후 봉합하는 방식으로 이루어진다. 수술 후 결막 절개 부위에 일시적으로 충혈이나 이물감이 발생할 수 있으나 대부분 얇은 녹는 실을 사용해 봉합하기 때문에 적절한 안약을 사용하고 시간이 지남에 따라 불편감이 호전된다.
지방의 크기 및 위치, 환자의 결막 상태에 따라 적절한 수술법이 달라질 수 있으므로 수술 전 안과 전문의와 상담 후 개인별 눈 상태에 맞는 수술법을 선택하는 것이 필요하다.
안와지방탈출은 주된 원인이 노화이기 때문에 재발 가능성이 비교적 높은 편이다. 눈에 특별한 증상이 나타나지 않아도 불편함이 생긴다면 안과에 방문하여 검진을 받아보는 것이 좋다.
김안과병원 성형안과센터 배경화 전문의는 "안와지방탈출은 지방을 싸고 있는 막이 약해지며 지방이 돌출되는 증상으로 노화로 인해 나타날 수 있는 변화"라며 "안와지방탈출로 인해 불편함이 지속되거나 심미적으로 개선을 원한다면 수술로 간단하게 제거할 수 있지만 이후 추가로 나타날 수 있는 증상을 최소화하기 위해 경험이 풍부한 의사와 상담 후 치료 방향을 결정하는 것을 권고한다"고 말했다.













